
当院では各種健康保険を取り扱っており、通常は保険で治療が受けられます。しかし、 「もっときれいになりたい」 「もっとおいしく食事がしたい」 という方へは、保険外(自費)治療にはなりますが、より美しく丈夫な材料・より高度な技術を用いた治療がございます。
費用表示はすべて税込みです
| 部分的な詰め物の種類 | 美しさ 強度 |
費用 |
治療例はこちら |
◎ | 45,000円 |
セラミックインレー |
35,000円 | |
|
× | 60,000円 |
|
× | 1,700円 |
| 前歯のかぶせの 種類 |
美しさ 強度 |
費用 |
オールセラミック |
◎ | 105,000円 |
オールセラミック 治療例はこちら |
95,000円 | |
|
85,000円 | |
|
△ | 50,000円 |
|
△ | 約5,500円 |
| 奥歯のかぶせの 種類 |
美しさ 強度 |
費用 |
オールセラミック |
◎ | 105,000円 |
オールセラミック |
◎ | 95,000円 |
|
85,000円 | |
|
△ | 50,000円 |
|
× | 70,000円 |
|
× | 約3,500円 |
| ブリッジの種類 (前歯でも奥歯でも可能) |
美しさ 強度 |
費用 |
オールセラミック ブリッジ 治療例はこちら |
◎ | 105,000円 (1本あたり) |
|
85,000円 (1本あたり) |
|
|
△ | 50,000円 (1本あたり) |
|
× | 75,000円 (1本あたり) |
|
× | 3,500円 (1本あたり) |
| 総義歯の種類 | 費用 | 保障 |
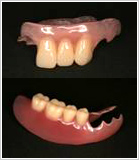
| 保険外(自費)の 総義歯 ![]() |
367,500円 | 2年 |
保険適用の総義歯![]() |
約10,000円 | なし |
| 部分義歯の種類 | 費用 | 保証 |
| 保険外(自費)の 部分義歯 ![]() |
バネの数などにもよりますが、バイタリウム床 345,000円 前後 チタン床 397,500円 前後 |
2年 |
| 保険適用の 部分義歯 ![]() |
バネの数などにもよりますが、 3割負担で約10,000円 |
なし |
| エステティック義歯 (入れ歯) |
欠損部 | 費用 |
![]() |
4歯まで | 105,000円 |
| 5歯~9歯まで | 136,500円 | |
| 10歯以上 | 157,500円 |
保障は破損の場合に適用されます。紛失は適用されません。
何本インプラントが必要か等で費用が変わります。 目安としては1本あたり32万円~38万円です。(手術から冠をかぶせるまでトータルの費用) 当院では2回に分けてお支払い頂いております。
実際のお支払例 : 歯が欠損した部位に1本インプラント治療した場合
![]() |
1回目お支払い インプラント埋め込み手術時 200,000円 |
埋め込み後、その上に冠を装着する時(上顎は約6か月後・下顎は約3ヶ月後)に以下の費用がかかります。
![]() 写真は インプラント用 メタルボンド |
2回目お支払い 冠の装着時どの冠にするかで費用が変わります。 ・インプラント用ゴールド冠 120,000円 ・インプラント用メタルボンド 150,000円 ・インプラント用オールセラミック 180,000円 |
| 種類 | 白さ | 費用 |
![]() オフィスホワイトニング 治療例はこちら |
31,500円~ (15分×3回) |
|
![]() ホームホワイトニング |
29,500円~ | |
![]() デュアルホワイトニング |
◎ | 55,000円~ |
| トゥースブリーチ | ◎ | 1本 5,250円 |
<医療費控除制度>
医療費控除制度とは、1月から12月までの間に、本人または家族が支払った医療費が10万円を越える場合に、確定申告をすれば税金の還付が受けられる制度です。
<医療費控除の計算式>
医療費控除額は、次の計算式で算出されます。
その年中に支払った医療費-保険金などで補てんされる金額=A
A-(10万円または所得金額の5%、どちらか少ない金額)=医療費控除額(最高200万円)
この場合、10万円を超えた医療費全額が還付されるわけではなく、自分の所得税率を掛けた金額が、最終的な還付金額になります。
<医療費控除が使える歯科治療>
医療費控除になる治療
インプラントの費用
自費診療による治療費(金歯、金冠、メタルボンド冠、セラミックなど)
虫歯や歯周病(歯槽膿漏)の治療費
親知らずの抜歯
義歯(入れ歯)の費用
発育段階にある子どもの歯並びの矯正
成人の噛み合わせ改善治療の矯正 など
<医療費控除にならない治療>
歯を白くするためのホワイトニング治療
歯科ローンの金利、手数料など
通院時に自家用車を使用した場合の駐車料金、ガソリン代医療費控除の手続きについて等 詳しくはパソコンサイトへ